首页
AI可从肿瘤形态预测乳腺癌治疗效果
返回

AI可从肿瘤形态预测乳腺癌治疗效果

2022-12-19 科技信息 By:佚名
最佳答案人工智能在诊断医学方面具有巨大的潜力。它可以非常快速地处理大量数据,注意到人眼无法察觉的细节。现在,赫尔辛基大学的科学家们已经证明了使用人工智能来预测靶向乳腺癌治疗效果的可能性。人工智能可用于发现肿瘤样本中的隐藏模式。人工智能已经被用于诊断癌症并跟踪其进展。现在,科学家们开发...

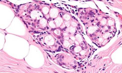
人工智能在诊断医学方面具有巨大的潜力。它可以非常快速地处理大量数据,注意到人眼无法察觉的细节。现在,赫尔辛基大学的科学家们已经证明了使用人工智能来预测靶向乳腺癌治疗效果的可能性。人工智能可用于发现肿瘤样本中的隐藏模式。

人工智能已经被用于诊断癌症并跟踪其进展。现在,科学家们开发了一种工具,可以用ERBB2(促进癌细胞生长的癌蛋白)检测乳腺癌病例的典型肿瘤形态特征。这项技术的实用性非常明显——ERBB2蛋白过度表达的患者可以从针对ERBB2受体的单克隆抗体治疗中受益。正确识别它们可以导致更明智的治疗选择和更好的结果。

芬兰的科学家表明,人工智能算法可以直接从肿瘤形态学中学习预测肿瘤ERBB2状态的模式。该研究的作者之一德米特里·比奇科夫(DmitriiBychkov)解释说:“我们的结果表明,肿瘤的形态特征包含有关疾病生物学的大量信息,可以通过机器学习方法提取。这些有价值的数据可以帮助临床决策”。研究人员用来自乳腺癌患者的真实组织样本进行了测试,发现人工智能非常擅长确定哪些患者更有可能获得更有利的疾病结果。这将非常有助于做出与治疗方案相关的选择。

此外,科学家们认为,基于人工智能的技术不仅可以补充当前的分子诊断方法,而且有朝一日可能会改善一些靶向癌症治疗的选择。科学家们正在讨论考虑到人体所有不同医学特征的定制疗法。患者是不同的,所以治疗应该是不同的。基于人工智能的方法可以帮助为每个病例选择最合适的治疗方法,同时快速高效。

人工智能将在医学中越来越普遍。尽管医生和其他医疗保健专业人员的重要性永远不会降低,但基于人工智能的解决方案可以帮助他们注意到使用传统方法难以发现的小细节和模式。希望AI软件能够很快变得更加完善并在全球范围内可用。

猜你喜欢
诺氟沙星能喝酒会死吗(诺氟沙星喝酒会有事吗)

诺氟沙星能喝酒会死吗(诺氟沙星喝酒会有事吗)

12-19 0 阅读
电脑CPU风扇拆卸(电脑cpu风扇正确拆卸方法步骤(图文教程))

电脑CPU风扇拆卸(电脑cpu风扇正确拆卸方法步骤(图文教程))

12-18 0 阅读
怎么用excel计算加减乘除(在Excel里面怎么算加减乘除)

怎么用excel计算加减乘除(在Excel里面怎么算加减乘除)

12-18 0 阅读
书山有路的路什么意思(书山有路的意思是什么)

书山有路的路什么意思(书山有路的意思是什么)

12-18 0 阅读
如何进入有密码的qq空间(怎么进入有密码的qq空间)

如何进入有密码的qq空间(怎么进入有密码的qq空间)

12-18 0 阅读
杭州电缆有限公司(关于杭州电缆有限公司的介绍)

杭州电缆有限公司(关于杭州电缆有限公司的介绍)

12-19 0 阅读
热门推荐
诺氟沙星能喝酒会死吗(诺氟沙星喝酒会有事吗)

诺氟沙星能喝酒会死吗(诺氟沙星喝酒会有事吗)

12-19 0 阅读
电脑CPU风扇拆卸(电脑cpu风扇正确拆卸方法步骤(图文教程))

电脑CPU风扇拆卸(电脑cpu风扇正确拆卸方法步骤(图文教程))

12-18 0 阅读
怎么用excel计算加减乘除(在Excel里面怎么算加减乘除)

怎么用excel计算加减乘除(在Excel里面怎么算加减乘除)

12-18 0 阅读
书山有路的路什么意思(书山有路的意思是什么)

书山有路的路什么意思(书山有路的意思是什么)

12-18 0 阅读
如何进入有密码的qq空间(怎么进入有密码的qq空间)

如何进入有密码的qq空间(怎么进入有密码的qq空间)

12-18 0 阅读
杭州电缆有限公司(关于杭州电缆有限公司的介绍)

杭州电缆有限公司(关于杭州电缆有限公司的介绍)

12-19 0 阅读
vivox21咋解密码锁(捡到vivox21无法解锁)

vivox21咋解密码锁(捡到vivox21无法解锁)

12-18 0 阅读
上海虹桥站到美国驻上海总领事馆(美国驻上海领事馆)

上海虹桥站到美国驻上海总领事馆(美国驻上海领事馆)

12-18 0 阅读
单位工程名称什么意思(什么叫单位工程名称)

单位工程名称什么意思(什么叫单位工程名称)

12-18 0 阅读
戴尔笔记本光驱不读盘(光驱不读盘)

戴尔笔记本光驱不读盘(光驱不读盘)

12-18 0 阅读